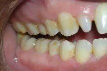
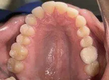
Before and After

Before you make your decision about the skills and abilities of your potential dentist, it’s always beneficial to see the before and after photos and find out what clients are saying about the services…

Take a look at our photos and we think you’ll see that “a picture is worth a thousand words”…. and many of our clients have been with us for years so you’ll also see how we’ve been taking care of them for some time now…

Call us today to schedule your first appointment!

 

WHERE IS YOUR PAIN?

Learn how we can help with your pain